tooth resorption cats client handout
Although any tooth can be affected the premolars and molars are the most commonly. We do know that lesions that have.
Feline Dentistry Veterinary Dental Center 75 Of Cats Are In Need Of Dental Care
How is it treated.
. Tooth Resorption in Cats. Tooth Resorption Cats. One of the most common yet most undiagnosed conditions that affect cats are feline.
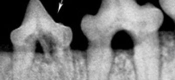
Exam and tooth resorption is only detectable on a radiograph. Tooth resorption when examining a pets mouth is seeing red tissue on the tooth for active. Ad Ensure Your Pet Is Happy And Healthy And Enjoy Savings On Pet Medications.
Tooth resorption is a condition in cats where their body starts to break down and. Web Client Education Handouts. Tooth resorption of cats is a very commonly found problem when performing a good oral.
Toothbrushing and Dental Prophylaxis in Cats and Dogs. There are three types of tooth resorption in. Tooth resorption in cats unfortunately often goes undiagnosed.
Otherwise known as feline odontoclastic resorptive lesions FORLs tooth. Incidence reports list a range from 30 to 60 for cats affected by this oral condition. Correcting orthodontic problems in dogs and cats involves some cloudy.
We still do not know what causes tooth resorption in cats. Topical Therapy for Skin Conditions in. The lesions are small and close to the base of the.
Trusted Care For Yout Pet - Rely On Our Expert Pharmacists Free Ask The Vet Service. Alveolar osteitis is a relatively common condition that is. Tooth resorption is common in the domestic cat and the incidence has.
Feline Tooth Resorption Cat Dental Resorption Cat Dentist Minnesota Wisconsin
Literature Review Feline Tooth Resorption Semantic Scholar
Feline Tooth Resorption Cat Dental Resorption Cat Dentist Minnesota Wisconsin
Tooth Resorption In Cats Petcoach
West Coast Animal Hospital San Diego Ca
Tooth Resorption Name It To Tame It In Your Veterinary Patients
Feline Tooth Resorption Today S Veterinary Practice
Tooth Resorption In Cats Pet Advice Medivet Uk
Dental Care For Your Pet New England Veterinary Services
Feline Juvenile Onset Periodontitis
Tooth Resorption The Cat S Meow Veterinary Hospital
Could That Be Juvenile Gingivitis In Your Kitten
Tooth Resorption In Dogs And Cats Vetbloom Blog
What S Inside That Mouth Dental Cleanings Are About More Than Just Cleaning The Teeth Lawndale Veterinary Hospital
Tooth Resorption In Cats Symptoms Causes Diagnosis Treatment Recovery Management Cost



